牙齿矫正对一个人外貌的影响到底有多大?
蕞近,
小编和很多来到利美康做矫正的朋友们
进行了深入的交流。
当说起为什么要做矫正时,
大家的答案都出奇的一致,
那就是一一
变好看!!!

果然,在这个社会,颜值才是第壹生产力。
那么,牙齿矫正到底对外貌影响有多大?!
废话不多说,看看真实案例,
一睹矫牙的神奇效果吧!
龅牙(牙齿前突)

牙齿前突的现象在中国人中算是相当常见的,除了牙齿前突引起的嘴巴突出不美观的情况之外呢,牙齿前突的人还比较容易出现法令纹,看起来有些显老。这个时候,就可以通过矫治牙齿,来给因牙齿引起的面型问题带来改善。比如,通过拔牙获得空间让前牙往回走,或者是严重骨性的可以通过正颌配合矫正,同时改变骨骼位置及牙齿问题,从而使嘴唇回收,进而鼻梁和下巴颏都会显得更翘一些,侧面看起来更加立体。
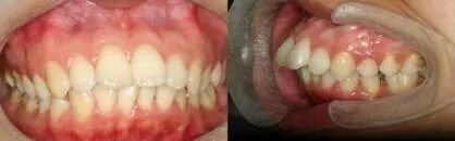
王某某,女,33岁,牙齿前突。上图是矫治前的牙齿图。
经过拔牙、戴金属牙套,1年半的牙齿矫正,前突的牙齿往回收了。
矫治前后脸型对比
兜齿(地包天)

在正常自然状态下我们咬合牙齿,上牙会比下牙略往前一点,但“地包天”的情况则刚好相反。这样看起来下巴就不够立体,也容易让整个脸型成为人们所说的“猪腰子脸”“月牙脸”,特别影响美观,对牙齿咬合也存在影响。由于地包天情况影响下颌运动,也将引起后牙的咀嚼功能明显下降。此外也会影响到发音功能,使一些音发不清楚,影响交际和学习。“地包天”是一种颌骨畸形,原因可能是上颌发育不足,下颌发育正常;可能是上颌发育正常,下颌发育稍过等等。矫正后对于脸型的改变是巨大的,几乎能让人焕然一新。咬合功能改善后,咀嚼效率的提高也是十分显著的。
覃先生,28岁。牙齿地包天,
以前的“月牙脸”实在让人不敢恭维,
戴上隐形牙套完成矫治后,
完全成了另一个人的存在好嘛!
露龈笑(笑起来露牙龈)

引起露龈微笑的原因有软硬组织两方面因素:像上唇过短或是上颌牙槽骨过高等。上唇过短,可以通过进行唇肌锻炼得到缓解。而由于上颌牙槽骨发育问题造成的露龈微笑,通过正畸治疗将上前牙和牙槽骨一同向上方压入,绝大多数都可以得到非常明显的改善。对过于严重的骨性露龈微笑,则可能需要借助手术,才能进行彻底解决。
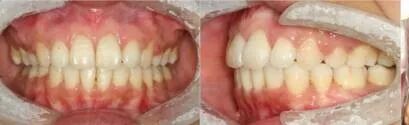
张女士,29岁,牙齿露龈笑
在天使进行陶瓷自锁托槽矫治后
牙齿变得整齐,脸型也变得和谐了,
笑起来也更加自然漂亮了~
深覆颌

就是咬合过深,指的是上前牙切缘盖过下前牙牙冠长度1/3以上或下前牙咬合于上前牙舌侧1/3以上者。因为咬合太深,从侧面看面部下半部分过短以及下巴后缩。深覆颌不仅会加重前牙的磨耗,影响牙周组织的健康,还可能诱发颞下颌关节病变等问题。造成深覆颌的原因有可能是前牙过长或后牙萌出不足,正畸医生要仔细检查后有针对性的制定矫治方案,矫正后不仅会让笑容更美丽,而且对牙齿和颞下颌关节的健康和长期稳定都有帮助。
小黎同学,18岁,牙齿深覆颌
在天使进行隐形牙齿矫治2年后牙齿排齐了,
这给了她对学习和未来更多的自信~
开颌(前牙咬不到一起)

口腔不良习惯如吐舌、舔牙、伸舌、吸手指等是常见引起牙齿开颌的原因。开颌因前牙咬不到一起,非常影响前牙咀嚼,因此常伴有肠胃及呼吸道问题,通过矫正改善刻不容缓。矫正后,牙齿咀嚼功能改善,肠胃及因开颌引起的呼吸道问题都可以得到解决。
学生,20岁。骨性开颌严重。
经过隐形矫治后,牙齿变得整齐,
人也帅气了不少啊啊~~

看了上面这么多真实的案例,
牙齿不整齐的朋友们有没有心动呢?
戴一两年的牙套、吃饭后刷牙、定期复诊……
虽说牙齿矫正对你而言可能真的是一部血泪史,
但别忘了,它带给我们更多的是蜕变和美丽啊~~